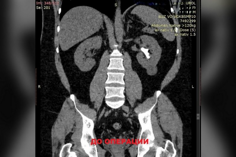
Врачи Воронежской городской клинической больницы скорой медицинской помощи №10 (БСПМ №10) выполнили сложную операцию по удалению камня в почках. В больницу обратился 38-летний воронежец с жалобами на боль в левой части поясницы. Специалисты выяснили, что у мужчины большую часть чашечно-лоханочной системы левой почки занимает камень размером 27 на 39 мм. Отягощающим фактором была избыточная масса тела пациента – он весил 142 кг. Врачи выполнили тяжелую операцию без открытого разреза. Через пять дней пациента выписали домой. Об этом сообщили в пресс-службе регионального министерства здравоохранения в четверг, 4 сентября.
Под контролем УЗИ и рентгена с помощью лазерного излучения камень раздробили на мелкие фрагменты и извлекли их через прокол в поясничной области.
Операцию, длившуюся чуть более часа, провели:
- хирург Антон Ларин;
- ассистент Сергей Московкин;
- операционная медсестра Светлана Клычева;
- анестезиолог Екатерина Калабухова.
Ранее РИА «Воронеж» рассказывало, что врачи Воронежской областной детской клинической больницы №1 спасли трехдневную девочку – малышке, у которой было выявлено внутриутробное нарушение, стабилизировали сердечный ритм.

