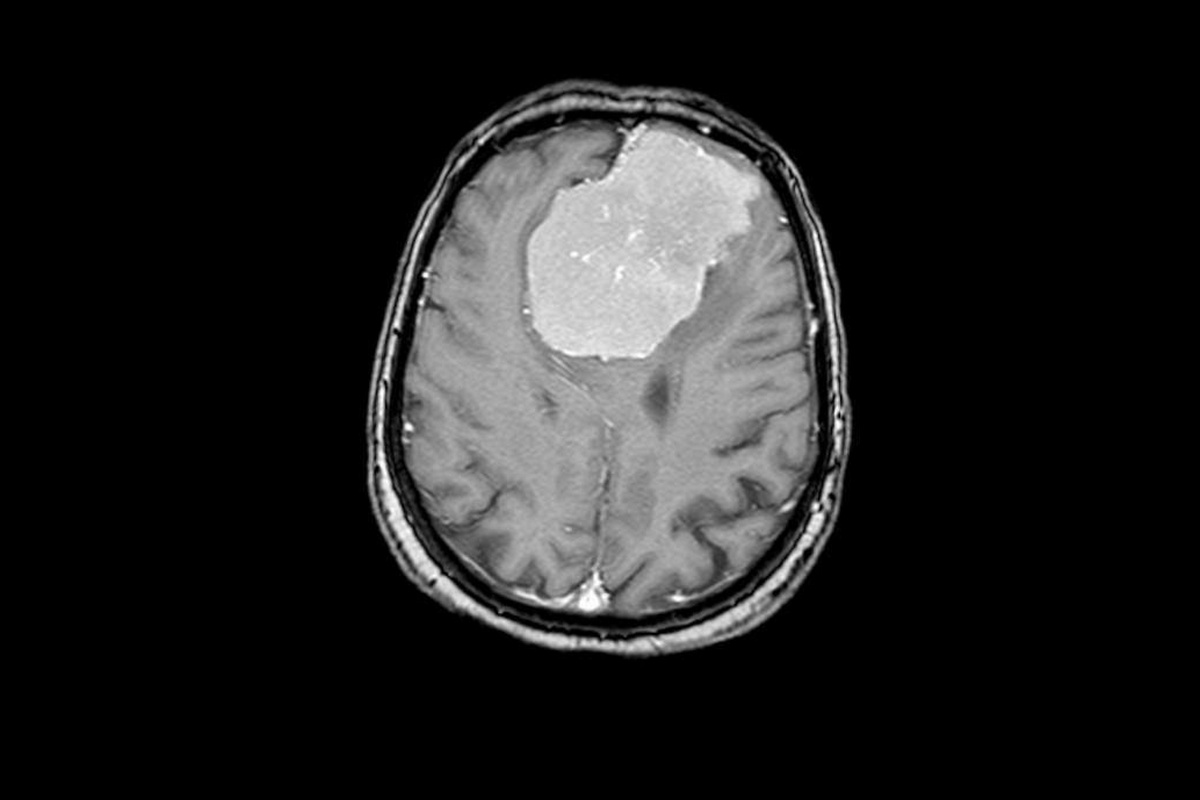
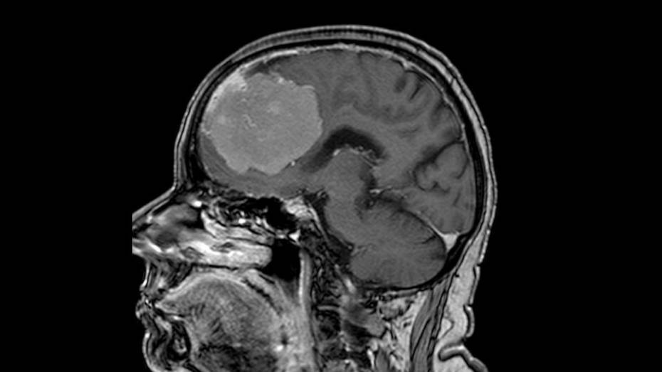
Нейрохирурги Воронежской городской больницы скорой медицинской помощи (БСМП) №1 провели 80-летней пациентке сложную 6-часовую операцию по удалению опухоли мозга, которая достигла размеров грейпфрута – 6 х 7 х 8 см. Главной задачей врачей было не только удалить новообразование, но и сохранить здоровье пожилой женщины – не повредить жизненно важные сосуды и участки мозга, чтобы избежать осложнений. Медиков ждал успех. Сейчас пациентка уже выписана, послеоперационный период у пенсионерки проходит хорошо, она обслуживает себя самостоятельно. Неврологическая симптоматика спала сразу после хирургического вмешательства. Об этом случае рассказали в региональном министерстве здравоохранения в среду, 21 мая.
Пенсионерка поступила в БСМП №1 с подозрением на инсульт. У женщины наблюдались проблемы с речью и слабость в правой руке. После стандартного обследования с помощью компьютерной томографии выяснилось, что инсульта у нее нет. Однако в обеих лобных долях мозга была обнаружена опухоль.

– Подобные новообразования так или иначе затрагивают важные участки мозга – кровеносные сосуды и зоны, отвечающие за речь и движение. Дополнительное исследование с контрастом показало, что опухоль окутывала магистральные сосуды Виллизиева круга – переднюю мозговую артерию, а также прорастала в переднюю треть сагиттального синуса (один из наиболее крупных венозных коллекторов головного мозга) и закрывала его, – разъяснили медики.
Команда нейрохирургов тщательно планировала действия с помощью специальной навигационной системы. В ходе операции врачи удаляли опухоль миллиметр за миллиметром и смогли полностью от нее избавиться, сохранив все важные сосуды. Операцию провела команда медиков:
- Павел Юров – нейрохирург, заведующий нейрохирургическим отделением;
- Виталий Бойко – нейрохирург;
- Анна Романова – операционная медсестра;
- Андрей Руденко – анестезиолог, заведующий отделением анестезиологии;
- Галина Сухотерина – анестезиологическая медсестра.
Ранее нейрохирурги ВОКБ №1 удалили из мозга жительницы Воронежа опухоль размером с шарик для пинг-понга. К врачам 44-летняя пациентка обратилась с жалобами на частые головокружения, головные боли, ухудшение зрения и шаткость походки. После диагностики медики обнаружили новообразование в области мосто-мозжечкового угла. Хирурги приняли решение об удалении опухоли, но на этапе подготовки к операции возникла сложность – женщина не хотела сбривать волосы и расставаться с любимой прической. Подробности этого случая – в материале РИА «Воронеж».